A CBCT egy háromdimenziós fogászati képalkotó vizsgálat, amely pontosabb diagnózist tesz lehetővé, mint a hagyományos röntgen. Gyors, fájdalommentes és biztonságos eljárás, amely segíti a kezelések precíz megtervezését.
Fogas kérdések
A CBCT egy háromdimenziós fogászati képalkotó vizsgálat, amely pontosabb diagnózist tesz lehetővé, mint a hagyományos röntgen. Gyors, fájdalommentes és biztonságos eljárás, amely segíti a kezelések precíz megtervezését.
A góckutatás során a szervezetben megbúvó, gyakran tünetmentes gyulladásokat keresik, amelyek más problémák hátterében állhatnak. A fogak és a szájüreg gyakran ilyen gócforrások lehetnek.
Az állkapocs fájdalom hátterében állhat fogászati probléma, izomfeszülés vagy ízületi zavar is. Tartós panasz esetén érdemes kivizsgáltatni az okát.
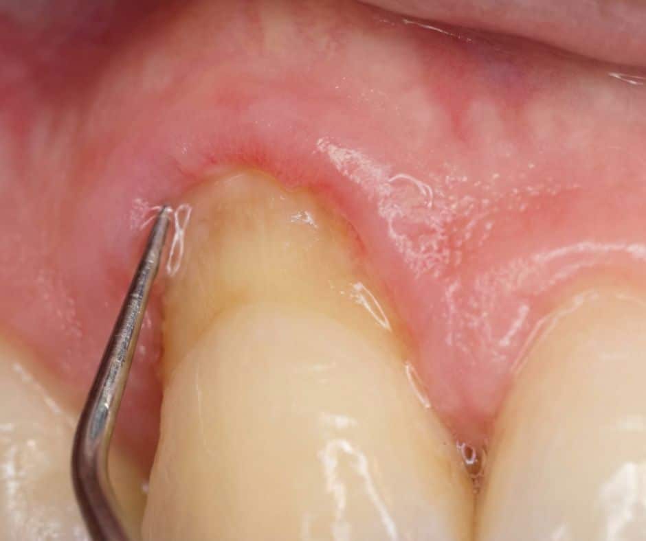
A fognyaki érzékenység az íny visszahúzódása és a zománc kopása miatt alakul ki, és éles fájdalmat okozhat különböző ingerekre. Megfelelő kezeléssel és szájápolással jól enyhíthető.
Fogfájás esetén nem mindig szükséges antibiotikum. Tudj meg mindent arról, mikor írja fel a fogorvos, hogyan működik, miért nem helyettesíti a kezelést és ha felírták, akkor miért kell beszedni!
A felnőttkori fogszabályozás már nem szégyen, hanem tudatos döntés az esztétikus mosoly és az egészséges harapás érdekében. Sokan viszont szeretnék elkerülni a fémes fogszabályozók látványát, ezért egyre többen döntenek a láthatatlan fogszabályozó mellett.
A fogfájás valóban az egyik legkellemetlenebb és legintenzívebb fájdalom, amit az ember tapasztalhat. Annak ellenére, hogy valaki rendkívül odafigyel a szájhigiéniára és rendszeresen jár fogorvosi ellenőrzésre, néha olyan problémák is felmerülhetnek, amelyek elkerülhetetlenek vagy nehezen előzhetők meg és fogfájást váltanak ki.
A fogfájásnak elég szerteágazó okai lehetnek. Természetesen a legfontosabb lépés, hogy felkeressük fogorvosunkat, akinek segítségével kideríthető, hogy mitől indult útjára ez a kezdetben csak kellemetlen, majd akár egyre inkább kínzó érzés.
Annak ellenére, hogy a bölcsességfog eltávolításának menete mára teljesen átalakult, hiszen a korábbi vésésnek és fájdalmas kellemetlenségeknek már nyoma sincs, még mindig sok kérdőjel övezi az eljárást.
Főként a műtéti beavatkozást követően, kell idő a felépüléshez is. Ezt az időszakot könnyíthetjük meg azzal, ha odafigyelünk néhány részletre és betartjuk a fogorvosunk tanácsait.
Budapest belvárosában, a 7. kerületben található impozáns fogászati rendelésünkön várjuk Önt!
Budapest, 7. kerületElérhetőségek
FOGÁSZATI RENDELŐ
Rottenbiller u. 5/b.