Fogszabályozás átverés nélkül

Rögzített fogszabályozó szuper áron
189 000 Ft / fogív

Budapest belvárosa, 7. kerület Rottenbiller u. 5/b.







Limitált ideig elérhető ajánlat!

Igen, jól olvasta:
189 000 Ft

Nálunk nincs rejtett apróbetűs rész. Tudja előre, mire számíthat.

A fogszabályozás sok helyen ott válik kellemetlenné, amikor utólag derülnek ki a költségek. Mi máshogy gondolkodunk.

  • A rögzített fogszabályozó készülék ára nálunk fogívenként 189 000 Ft.
  • Nem csomagoljuk át, nem bontjuk szét, nem „felejtjük el” elmondani a további díjakat.

Ezen az oldalon pontosan leírjuk, milyen költségekkel kell számolnia a kezelés során.



Időpontot kérek konzultációra



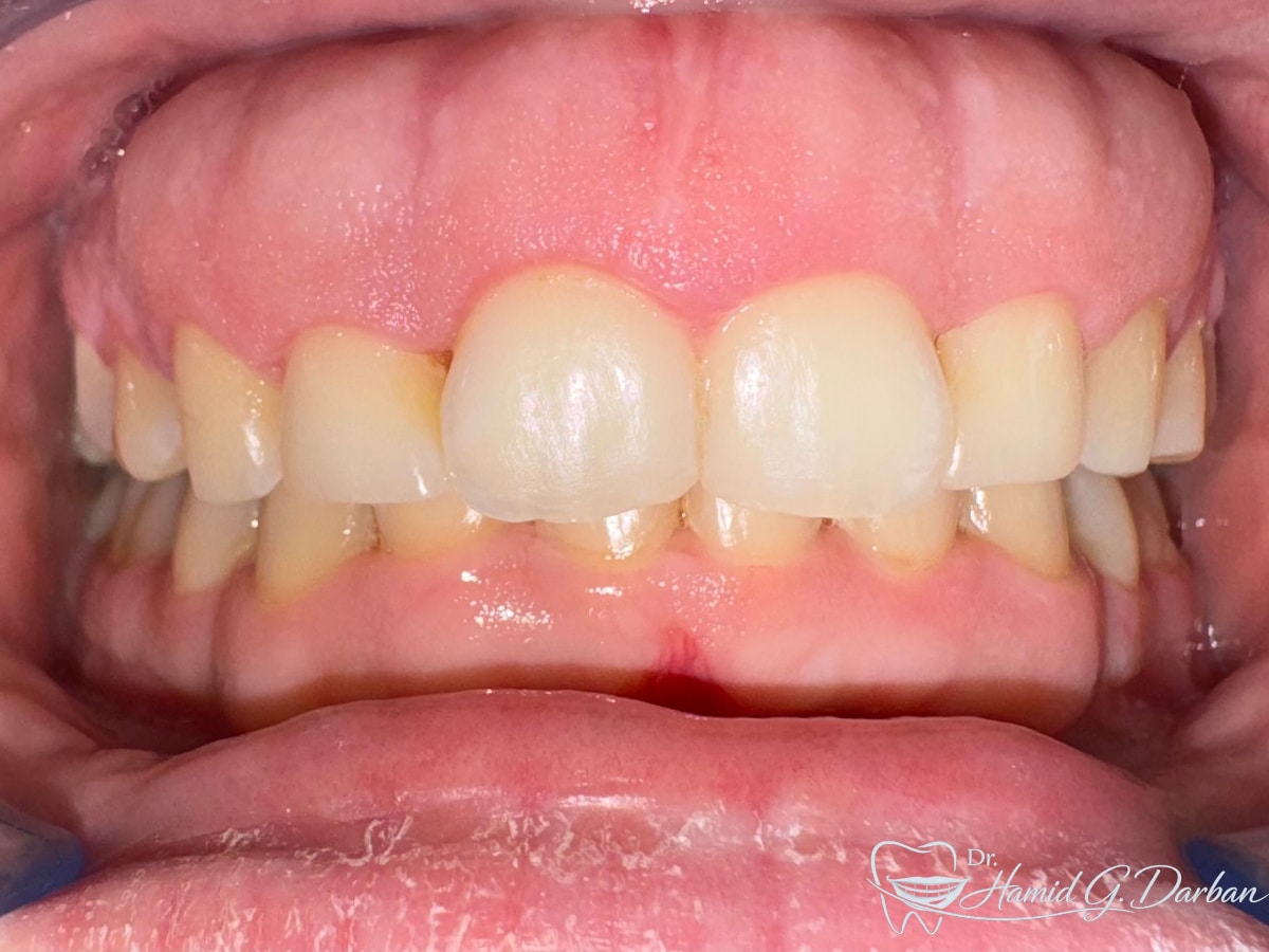
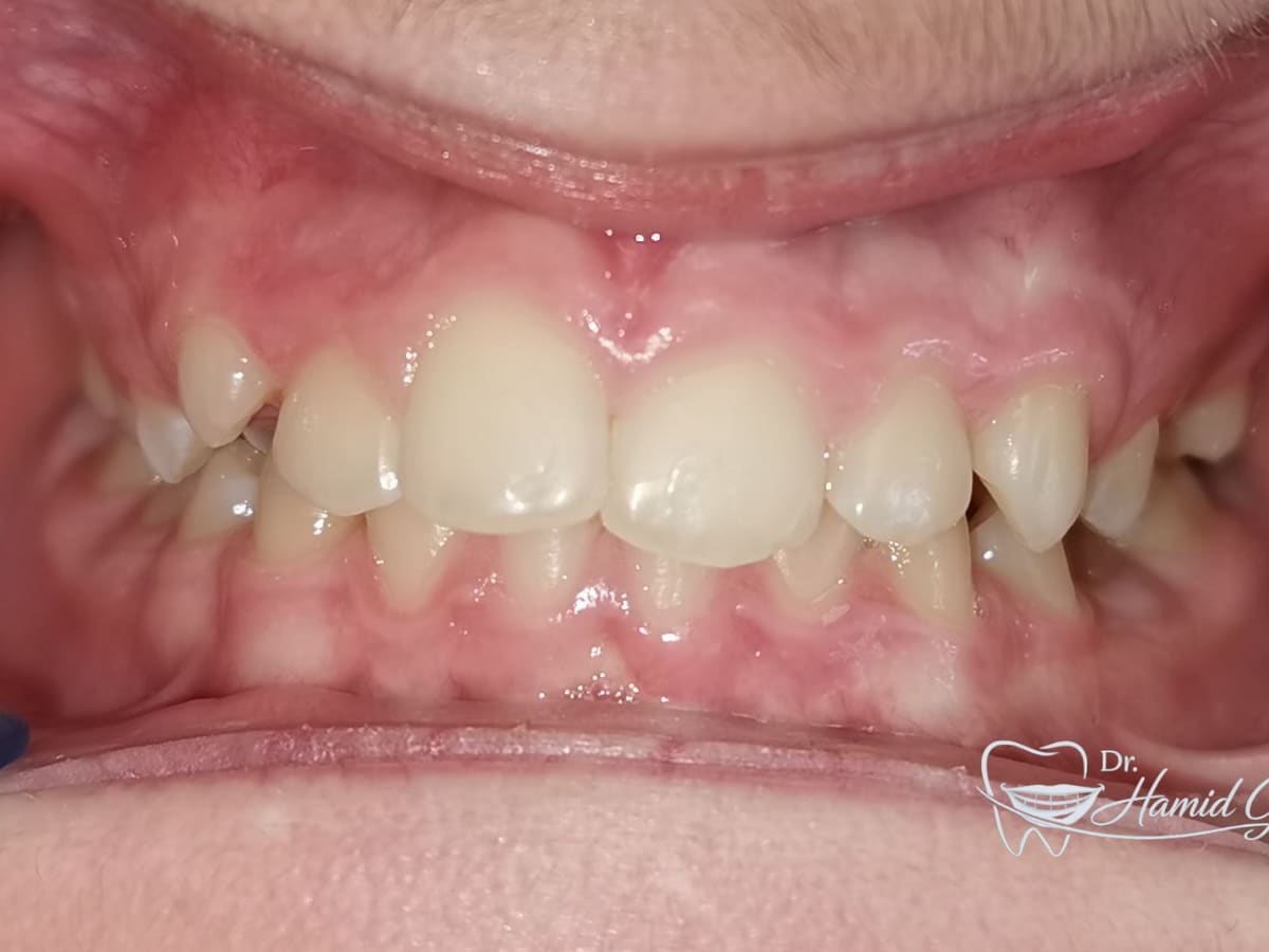
Kinek ajánlott a felnőttkori fogszabályozás?

A válasz egyszerű: szinte bárkinek! A modern fogszabályozóknak köszönhetően ma már a fogszabályozás nem csak gyerekeknek és kamaszoknak szól, felnőttkorban is hatékonyan tudjuk mozgatni a fogakat.

A fogszabályozók ma már esztétikusabbak és kényelmesebbek, mint korábban, vágjon bele bátran.

A felnőttkori fogszabályozás különösen ajánlott:

  • torlódás
  • résesség
  • harapás eltérés esetén

Ha eddig halogatta, most jó helyen jár!


fogszabályozó szakorvos egy nőt vizsgál, hogy alkalmasak-e a fogai a fogszabályozásra.


fogszabályozó szakorvos egy nőt vizsgál, hogy alkalmasak-e a fogai a fogszabályozásra.


Mennyibe kerül a fogszabályozás? – Teljes összeg, rejtett költségek nélkül

1. Konzultáció – 19 000 Ft

A konzultáció során:

  • Darban Hamid fogszabályozó szakorvos megvizsgálja, hogy alkalmasak-e a fogai fogszabályozásra. Amennyiben több lyukas fog van, esetleg fogeltávolítás szükséges, nem tudjuk azonnal elkezdeni a fogszabályozást.
  • Megbeszélik Dr. Hamiddal a fogszabályozási lehetőségeket és a várható eredményt.

2. Röntgenfelvétel és lenyomatvétel – ha azonnal szabályozható – 10 000 + 5 000 ft-tól

Amennyiben a fogak állapota engedi, már az első alkalommal elkészülhet a lenyomat. Ezt készülhet digitálisan és hagyományos módon is. Egy fogívre a hagyományos lenyomatvétel 5 000 Ft, a digitális 10 000 Ft. A lenyomatokon túl meg kell győződni a teljes állapotról is, ezért panoráma röntgen felvételek elengedhetetlenek a kezelés gondos megtervezéséhez.

3. Kezelési terv – 19 000 Ft

Ez az a rész, amit sok páciens nem lát, de itt dől el minden. A felvételek és lenyomatok alapján Dr. Hamid pontos szakmai szempontok alapján megalkotja a kezelési tervet, ami lépésről-lépésre tartalmazza a kezelés menetét és várható időtartamát.

4. Rögzített készülék felhelyezése – 189 000 Ft / fogív

A felhelyezés során:

  • brackettek kerülnek a fogakra
  • behelyezzük a kezdeti ívet
  • szükség esetén kiegészítő elemeket (tubusok, gyűrűk, gombocskák) alkalmazunk

Az ár tartalmazza a készüléket annak minden kiegészítő elemével és a felhelyezést is!

Egy rögzített készülékes kezelés jellemzően 12–18 hónapig tart.

Fontos: az esetek kb 15-20%-ban a szájpad tágítására is szükség van. Ekkor egy ún. transzpalatinális ívet kell felhelyezni. Ezt egy fogszabályozásra szakosodott fogtechnikus mestertől rendeljük meg és a készülék felhelyezésekor ezt is beépítjük. Ha erre szükség lenne, akkor ennek költsége 39.000 Ft.

5. Aktiválások – 15 000 Ft / alkalom

A fogszabályozás során nagyon fontos a rendszeres kontroll, hogy kezelőorvosa folyamatosan tudjon reagálni a fogak mozgására, hiszen a megtervezett finom, szabályozott mozgatásokat a készülék-átállítással tudja kieszközölni.

Aktiválásokra 4–6 hetente van szükség. Ilyenkor finomhangoljuk és átállítjuk  a készüléket, áthelyezzük esetleg pótoljuk a bracketteket, és átlagosan 3 havonta cseréljük az ívet. Az ívcsere költsége 15.000 forint/fogív, ami az aktiválási díjon felül értendő.

6. Fogszabályzó levétele 29 000 Ft

Amikor mindannyian elégedettek vagyunk az elért eredménnyel, a fogszabályzót eltávolítjuk a fogakról és a bracketek helyét az orvos felpolírozza. Egyénenként változik, de szükség lehet egy alapos dentálhigiénés fogtisztításra is a levételt követően.

Ezután helyben tartó készülék (fix és/vagy kivehető retainer) készül, hogy az elért eredmény hosszú távon is megmaradjon, ennek ára 39 000 ft fogívenként.



Időpontot kérek konzultációra



Fogszabályozás

Fogszabályozás után fiatal nő kis tükörben nézi az eredményt

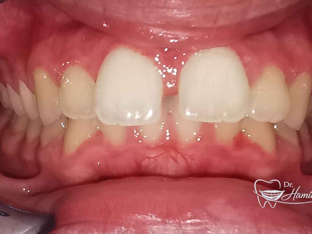
A fogszabályozás több mint esztétika

A fogszabályozással nem csupán a harmonikus mosoly kialakítása a cél. Nagyon sok esetben a torlódott fogak nehezen tisztíthatók, így a fogszuvasodás és a fogínygyulladás sokkal könnyebben kialakul.

Az esztétikai tökéletességen túl figyelünk arra is, hogy kialakítsuk a megfelelő harapást. Ez azért nagyon fontos, mert az állkapocs megfelelő terhelésével elkerülhető, hogy a későbbiek során állkapocs ízületi problémák, állkapocs kattogás alakuljanak ki.


Megújult mosolyok

Torlódás
Oldalsó torlódás
Nivellálás

Réses előreálló

Keresztharapás

Felső torlódás

Miért éri meg nálunk csináltatni fogszabályozását?


Átlátható árak, nincsenek rejtett költségek


Kiemelkedően jó ár-érték arányú fogászat Budapesten


Profi és nagyon kedves fogszabályozó szakorvos


A Denteo fogászat előnyei


Denteo fogászat csapata

Profi, nagy tapasztalatú orvosokMagas minőségű japán tömőanyagokGarancia minden elkészült fogtömésreKiváló ár-érték arányHosszú nyitvatartás (munka után is fogadjuk)Akár 1 héten belüli időpontRövid várakozási idő, nálunk nincs csúszásBelvárosi elhelyezkedés, könnyű megközelítés
Profi, nagy tapasztalatú orvosokMagas minőségű japán tömőanyagokGarancia minden elkészült fogtömésreKiváló ár-érték arányHosszú nyitvatartás (munka után is fogadjuk)Akár 1 héten belüli időpontRövid várakozási idő, nálunk nincs csúszásBelvárosi fogászat, könnyű megközelítés


Időpontot kérek konzultációra



Denteo fogászat csapata


Páciens VÉLEMÉNYEK




Az ön fogszabályozó szakorvosa


Dr. Darban Hamid

Dr. Darban Hamid

Fogszabályozó fogszakorvos

A fogszabályozás magas szinten való művelése családi hagyományunk, már gyerekkoromban édesapám nyomdokaiba akartam lépni, aki megmutatta a fogszabályozás által elérhető csodákat. Az egyetem befejezése után azon kevesek egyike voltam, aki a szakorvosképzést a közvetlenül a Magyar Orthodontiai Társaság Elnökénél végezhette, így hozzáférve a lehető legmagasabb szintű oktatáshoz. 

Ezen tudással és több éves tapasztalattal felvértezve teljes odaadással vallom, hogy a fogszabályozás nem csak a fogak egyenesítése! A komplex fogszabályozásban hiszek, amelynek során nemcsak a fogak állása, hanem funkcionalitása is hasonló mértékben fontos, éppen ezért a legmodernebb fogszabályozó technikákat alkalmazom kezeléseim során, ugyanis ez a garancia arra, hogy tartós és esztétikus eredményeket érjünk el.

 


Készen áll megmenteni a fogát és elkerülni a nagyobb kezeléseket?

Kérjen időpontot telefonon, vagy írjon üzenetet nekünk, akár 1 héten belül fogadjuk. Belvárosi prémium rendelő a Keleti pályaudvar közelében, rugalmas nyitvatartás, kezelések garanciával.


NYITVA TARTÁS


Hétfő
08:00-20:00
Kedd
08:00-20:00
Szerda
08:00-20:00
Csütörtök
08:00-20:00
Péntek
08:00-20:00
Szombat
Zárva
Vasárnap
Zárva

Fogászati rendelőnk elérhetőségei









Lépj kapcsolatba velünk!

Elérhetőségek


Budapest belvárosában, a 7. kerületben található impozáns fogászati rendelésünkön várjuk Önt!


IDŐPONTFOGLALÁS

Telefon:
06 30 556 6000



FOGÁSZATI RENDELŐ

Budapest, 7. kerület
Rottenbiller u. 5/b.




Kövess minket!

Közösségi média



© VKMD Kft. – All rights reserved | Website by Marketing Market

denteo logo
denteo logo
Adatvédelmi áttekintés

Ez a weboldal sütiket használ, hogy a lehető legjobb felhasználói élményt nyújthassuk. A cookie-k információit tárolja a böngészőjében, és olyan funkciókat lát el, mint a felismerés, amikor visszatér a weboldalunkra, és segítjük a csapatunkat abban, hogy megértsék, hogy a weboldal mely részei érdekesek és hasznosak.