A góckutatás során a szervezetben megbúvó, gyakran tünetmentes gyulladásokat keresik, amelyek más problémák hátterében állhatnak. A fogak és a szájüreg gyakran ilyen gócforrások lehetnek.
Fogas kérdések
A góckutatás során a szervezetben megbúvó, gyakran tünetmentes gyulladásokat keresik, amelyek más problémák hátterében állhatnak. A fogak és a szájüreg gyakran ilyen gócforrások lehetnek.
A pulpitis a fog belsejében lévő idegszövet gyulladása, amely gyakran erős, lüktető fájdalommal jár. Korai stádiumban még kezelhető, előrehaladott esetben azonban gyökérkezelés szükséges.
A fogínysorvadás az íny visszahúzódását jelenti, amely érzékenységet és akár fogvesztést is okozhat. Bár teljesen nem mindig fordítható vissza, megfelelő kezeléssel a folyamat megállítható.
A fogágybetegség a fogakat tartó szövetek gyulladása, amely kezelés nélkül akár fogvesztéshez is vezethet. Bár az otthoni szájápolás fontos, a hatékony kezeléshez fogorvosi beavatkozás szükséges.
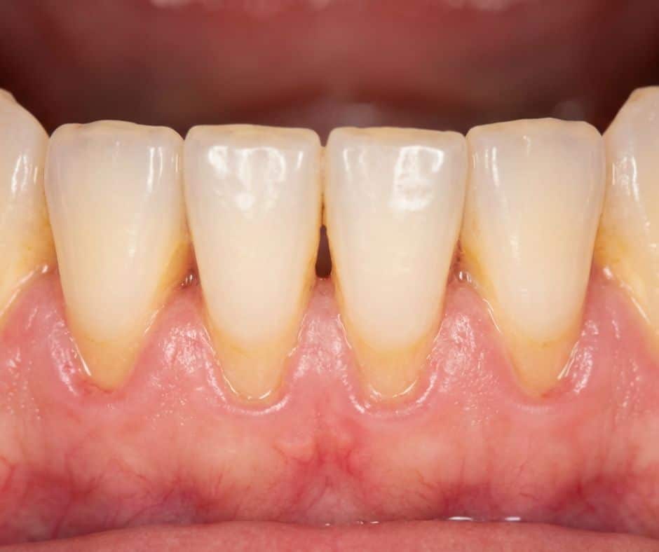
A fogérzékenység hidegre leggyakrabban a zománc kopása vagy az íny visszahúzódása miatt alakul ki, amikor a fog érzékenyebb rétege szabaddá válik. Enyhébb esetben otthoni módszerekkel is csökkenthető, de tartós panasz esetén érdemes fogorvoshoz fordulni.
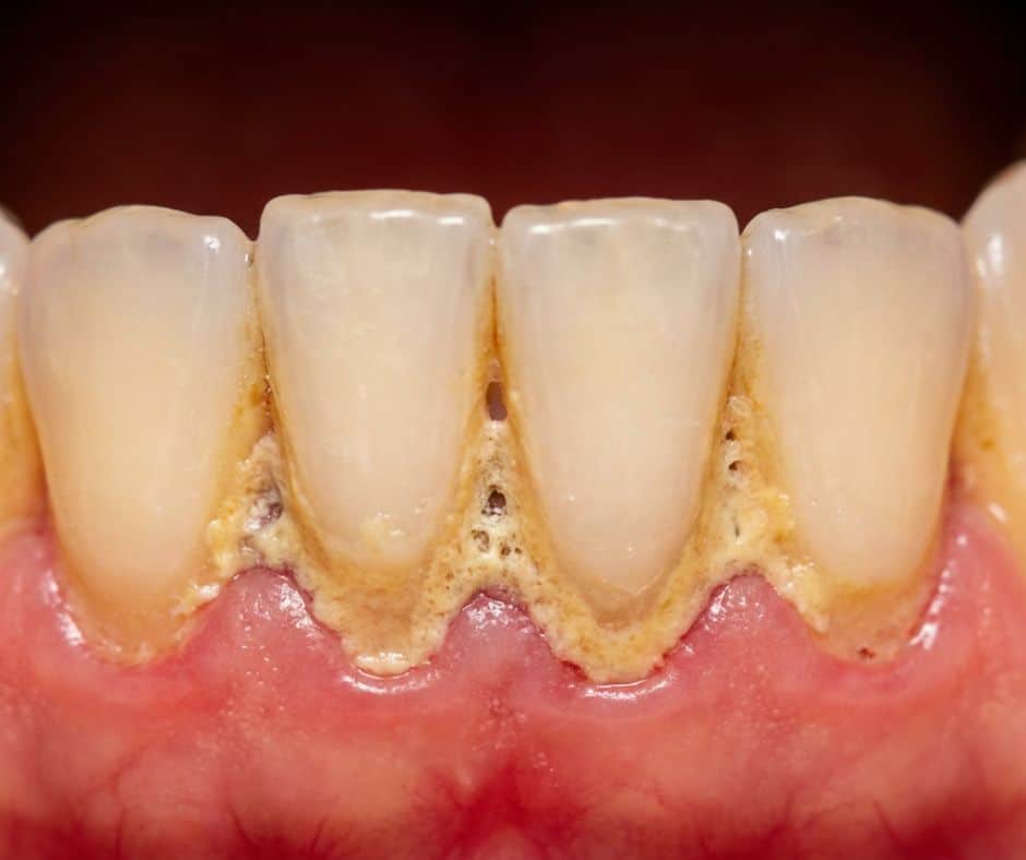
A fogkő eltávolítás házilag csak korlátozottan lehetséges, mivel a már kialakult, megkeményedett lerakódás biztonságosan csak fogorvosi kezeléssel távolítható el. Az otthoni szájápolás inkább a megelőzésben segít, ezért rendszeres kontroll és professzionális tisztítás is szükséges.
Mikor válik indokolttá a fogpótlás, milyen élethelyzetekben érdemes mielőbb lépni, és miért fontos a foghiány szakszerű pótlása a hosszú távú szájegészség érdekében?
A fogszuvasodás nem csupán esztétikai probléma, hanem a fogak és az íny egészségét veszélyeztető folyamat. A lepedékben található baktériumok savas hatása fokozatosan roncsolja a fogzománcot, ami kezeletlenül lyukas foghoz, sőt gyulladáshoz is vezethet.
Fogfájás esetén nem mindig szükséges antibiotikum. Tudj meg mindent arról, mikor írja fel a fogorvos, hogyan működik, miért nem helyettesíti a kezelést és ha felírták, akkor miért kell beszedni!
Sokan rettegett fogorvosi beavatkozásként tekintenek a gyökérkezelésre, pedig valójában ez az eljárás épp a fog megmentését szolgálja.
Budapest belvárosában, a 7. kerületben található impozáns fogászati rendelésünkön várjuk Önt!
Budapest, 7. kerületElérhetőségek
FOGÁSZATI RENDELŐ
Rottenbiller u. 5/b.